Using composite, we can build up individual teeth again, to give you a smile you feel proud of.
What is composite?
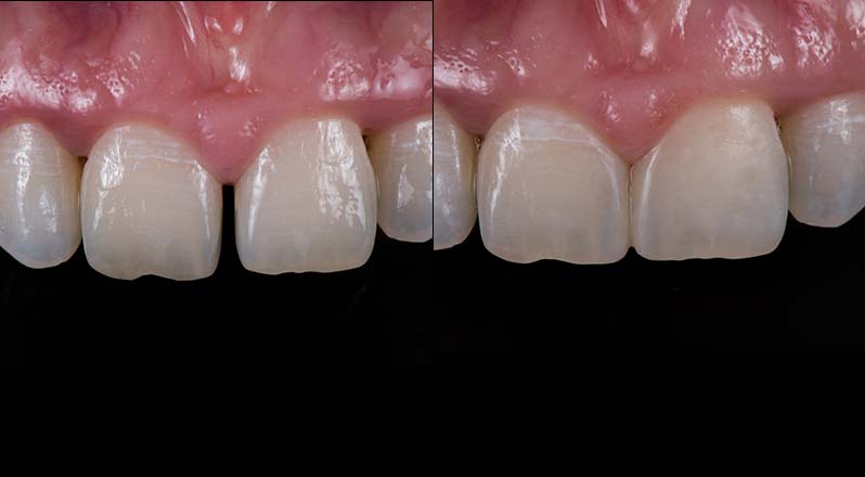
When we refer to composite in dentistry, we’re talking about a special resin that adheres to teeth, restoring their ability to perform the everyday functions you need them to.
Composite resin is an extremely close counterpart of real tooth enamel, which is why we dentists are so fond of working with it to restore our patients’ smiles.
By applying it in fine layers, the unmistakable depth and light properties of natural tooth enamel can be reproduced extremely effectively. This makes for a natural result we’re sure you will love.
Can composite bonding and teeth whitening be used in combination?
Absolutely, in fact, this is a very common combination and something we dentists refer to as a “smile makeover”.
Should you wish to whiten all of your teeth and change the appearance of certain individual teeth, the whitening process will be the first step. This is because the composite resin used as part of the composite bonding process will not whiten using the professional whitening gel.
Once your teeth have undergone either an in-chair whitening process or an at-home package, we can complete the bonding process, which can be carried out in one appointment.
Should I choose composite bonding over veneers?
These two treatments often draw comparisons, as in the main, they address the same type of (mainly) cosmetic problems.
Whilst composite is something that’s applied to a tooth, a veneer is created in a dental laboratory and fits over the top of a tooth. In order to fit a veneer, a portion of your natural tooth structure needs to be removed first.
This is where the advantages of composite bonding come in. There’s no need to remove any tooth structure, due to the nature of the direct application of the resins. This makes composite bonding both a more straightforward treatment and a faster one for dentists to complete.
You might now be thinking, “What are the advantages of veneers then”? Click here to find out about how veneers compare with composite bonding.
“I wanted to start the new year with whiter teeth so was looking around for a dentist to help with...”
“I attended this practice as I hadn’t seen a dentist for a few years due to previous bad experiences at...”
“Was so thankful to be able to get an emergency appointment here on the same day of calling. Manraj was...”
“After being told by my previous dental practice that I was no longer registered because I hadn’t been since Covid...”
“Recently attended the clinic for some cosmetic treatment to my teeth with Dr Mani Sandher & I am totally over...”
“I’ve always wanted to get all my silver fillings changed to white ones and was looking for somewhere to go...”

This will close in 0 seconds